Il rischio di tumore al polmone non è uguale per tutti i forti fumatori e per la prima volta è stato individuato uno screening personalizzato per la diagnosi precoce.
Lo dimostra lo studio bioMILD dell’Istituto Nazionale dei Tumori di Milano.
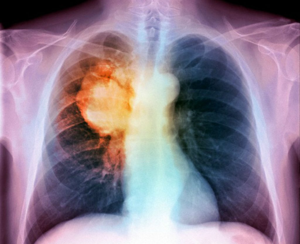
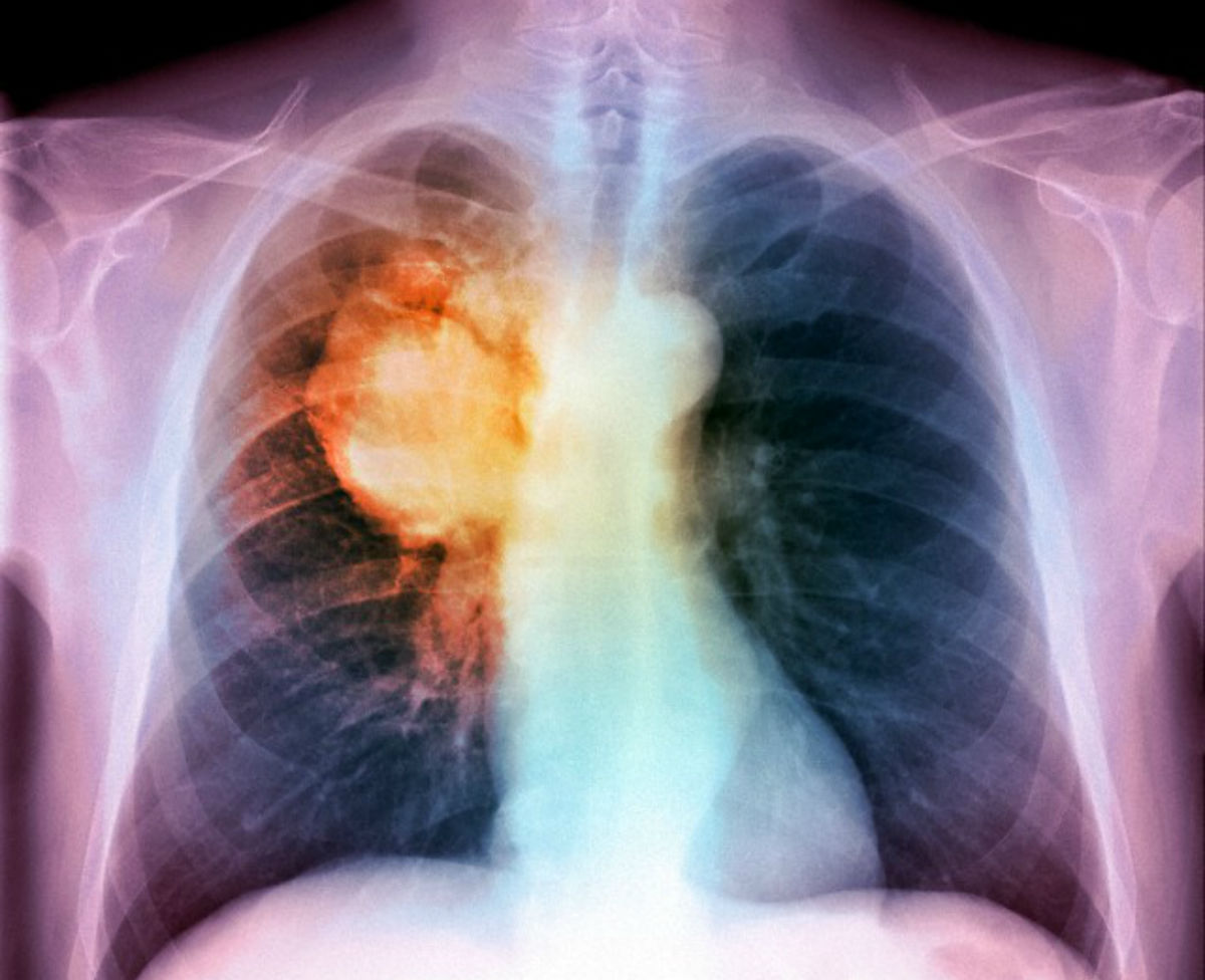
Tac spirale toracica a basso dosaggio di radiazioni (Ldct) e test microRNA sul sangue sono i due esami che, in combinazione, possono cambiare il destino di forti fumatori e soggetti ad alto rischio di sviluppo del carcinoma polmonare.
La ricerca rappresenta una svolta perché scardina l’idea che non sia possibile effettuare una diagnosi precoce del carcinoma polmonare.
Al contrario, prova che è possibile stabilire in anticipo chi ha maggiori probabilità di sviluppare la malattia e definire il calendario dei controlli e le misure preventive.
Lo studio è stato supportato da Fondazione Airc per la ricerca sul cancro ed è stato presentata oggi alla 20ma Conferenza mondiale dell’International Association for the Study of Lung Center (Iaslc) a Barcellona.
BioMILD è stato condotto su circa 4.000 persone, arruolate all’inizio del 2013.
Il 70% dei partecipanti era costituito da forti fumatori – cioè consumatori in media di un pacchetto di sigarette al giorno per 30 anni – con un’età superiore ai 55 anni.
Il restante 30% comprendeva volontari nella fascia d’età 50-55 anni, fumatori di 30 sigarette al giorno, sempre da almeno 30 anni.
Tutti sono stati sottoposti alla combinazione Ldct-test miRNA, eseguito attraverso il semplice prelievo di un campione di sangue.
I miRNA sono piccolissime molecole, molto specifiche, che vengono rilasciate precocemente dall’organo aggredito dalla malattia e dal sistema immunitario.
I risultati sono stati significativi: il 58% dei partecipanti è risultato negativo a entrambi i controlli ed è stato classificato a rischio basso di tumore del polmone, mentre il 37% è risultato positivo a uno dei due esami (rischio medio) e il restante 5% ha avuto entrambi i valori positivi con un rischio molto più alto di ammalarsi.
“La nostra ipotesi di partenza era che il rischio di ammalarsi per i forti fumatori non fosse omogeneo, cioè il medesimo per tutti” – spiega Ugo Pastorino, Direttore della Struttura Complessa di Chirurgia Toracica di Int e tra gli autori dello studio.
“I risultati ci hanno dato ragione perché sulla base degli esiti della TAC e del test miRNA siamo stati in grado per la prima volta di profilare il rischio di malattia e di definire che, a parità di esposizione, il rischio biologico è diverso”.

